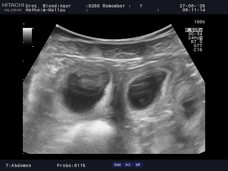
Nach dem positiven Ultraschallbefund heute ist es amtlich… Unser Mädel ist trächtig !!! Remember hat damit gezeigt, dass sie sich doch in die erfolgreichen fruchtbaren Ahnen (mütterlich) einreihen kann. Die Tierärztin konnte 6-8 Fruchtblasen erkennen.
Die Geburt erwarten wir mit Spannung Ende September.



Wir freuen uns riesig auf die kommende, aufregende Zeit mit Remember und ihren Zwergen

